Odontoiatria conservativa
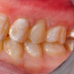
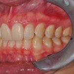
L’odontoiatria conservativa è una branca odontoiatrica il cui scopo è preservare la struttura dentale naturale e ricostruire eventuali perdite avvenute per carie o traumi. L’avvento di nuovi materiali ha esteso il suo campo d’azione permettendo di recuperare denti con trattamenti più conservativi che in passato.
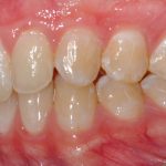
I materiali utilizzati sono di ultima generazione e permettono di creare un’adesione chimica tra i materiali e il dente stesso diventando un tutt’uno. Sono materiali ad alto impatto estetico che seguono tutte le sfumature dei denti naturali. Per permettere quest’adesione tra i materiali ed il dente, è necessario utilizzare la diga di gomma, un sottile foglio elastico che isola i denti dal resto della bocca evitando contaminazioni e proteggendo il paziente.
- Conservativa
- Conosciuta anche come odonoiatria conservatrice, si prefigge l’obiettivo di
curare la carie dentaria ricostruendo la struttura dentale con resine adesive. A differenza dei materiali come l’amalgama d’argento, questi nuovi materiali creano un’interfaccia adesiva direttamente con il dente costituendo così un’unità unica.
- Conosciuta anche come odonoiatria conservatrice, si prefigge l’obiettivo di
- Infiltrazione resinosa
- Esistono carie allo stadio iniziale che possono essere trattate in maniera non
invasiva utilizzando resine liquide e aggregati peptidici che una volta applicati,
diventano parte integrante dello smalto bloccando la progressione della carie.
- Esistono carie allo stadio iniziale che possono essere trattate in maniera non
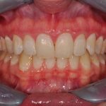
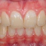
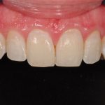
- Estetica
- Piccole correzioni e modifiche di forma dei denti anteriori possono essere fatte con tecniche additive cioè aggiuntive e quindi rispettose dei tessuti duri del dente. Oppure in sostituzione dei vecchi restauri in amalgama d’argento che possono risultare poco estetici.